Οι όψεις από σύνθετη ρητίνη (bonding) είναι μια τεχνική κατά την οποία ένα λεπτό στρώμα υλικού, όμοιο με αυτό των λευκών σφραγισμάτων, τοποθετείται πάνω από το δόντι και στη συνέχεια σκληραίνει (φωτοπολυμερίζεται) με τη φωτεινή ακτινοβολία που εκπέμπει ειδική συσκευή. Πρόκειται για μια απλή διαδικασία με άριστα αισθητικά αποτελέσματα που εφαρμόζεται κατευθείαν από τον οδοντίατρο, μπορεί να ολοκληρωθεί σε ένα και μόνο ραντεβού και έχει ως σκοπό την βελτίωση του χρώματος ή/και του σχήματος των δοντιών. Δεν απαιτείται η μεσολάβηση του οδοτεχνικού εργαστηρίου και για τον λόγο αυτό θεωρείται η πιο γρήγορη και χαμηλού κόστους παρέμβαση για ένα αρμονικό χαμόγελο. Τα υλικά που χρησιμοποιεί ο οδοντίατρος είναι οι σύνθετες ρητίνες με τις οποίες γίνονται και τα λευκά σφραγίσματα. Πρόκειται για ιδιαίτερα εξελιγμένα υλικά με άριστη αισθητική απόδοση και υψηλή αντοχή. Ακόμα ένα πλεονέκτημα των όψεων της σύνθετης ρητίνης είναι ότι απαιτείται ελάχιστη αφαίρεση οδοντικής ουσίας(τρόχισμα) σε σχέση με τις όψεις πορσελάνης και επιπλέον η χρήση αναισθησίας δεν είναι πάντα απαραίτητη καθώς η διαδικασία δεν πονάει. Οι Όψεις σύνθετης ρητίνης μπορούν να διορθώσουν προβλήματα που αφορούν το χρώμα, το σχήμα και το μέγεθος των δοντιών όπως είναι δυσχρωμίες που δεν ανταποκρίνονται στη λεύκανση, μικροδοντία, αραιοδοντία, συνωστισμός.


Ενδείκνυνται στις περιπτώσεις που δεν απαιτείται εκτεταμένη αφαίρεση οδοντικής ουσίας (τρόχισμα) για την επίτευξη του επιθυμητού αποτελέσματος και μπορεί διορθώσει το χρώμα, το σχήμα και τη θέση των δοντιών (μικροδοντία, αραιοδοντία, ελαφρύς συνωστισμός).Περισσότερο επεμβατική τεχνική, με πιο μόνιμο και ανθεκτικό σε βάθος χρόνου αποτέλεσμα, αλλά και δαπανηρή είναι οι όψεις πορσελάνης που έχουν τη δυνατότητα να επιλύσουν πιο σοβαρά προβλήματα, αλλά και να ικανοποιήσουν πιο υψηλές αισθητικές απαιτήσεις.

Οι όψεις πορσελάνης από ολοκεραμικό υλικό που συγκολλούνται πάνω στο δόντι έχουν αποτελέσματα με μακροπρόθεσμα καλύτερη αισθητική σε σχέση με τις όψεις σύνθετης ρητίνης για πιο φωτεινό χαμόγελο.

Για να προσαρμοστούν οι όψεις πορσελάνης αφαιρείται μία πολύ μικρή ποσότητα οδοντικής ουσίας, ώστε να δημιουργηθεί ο απαραίτητος χώρος και ένα εξαιρετικά λεπτό συγκολλάται στα δόντια, από τα οποία έχει αρχικά αφαιρεθεί για να προσαρμοστεί το υλικό.Η πορσελάνη ανήκει στα κεραμικά υλικά και παρουσιάζει παρόμοια διαφάνεια με την αδαμαντίνη του φυσικού δοντιού, γεγονός που μας δίνει τη δυνατότητα να πετύχουμε άψογο αισθητικό αποτέλεσμα.

Είναι εξαιρετικά ανθεκτική στη πάροδο του χρόνου, δεν προσροφά χρωστικές από το στοματικό περιβάλλον και διατηρεί αναλλοίωτη την αισθητική των δοντιών. Οι όψεις πορσελάνης χρησιμοποιούνται σε περιπτώσεις που οι αισθητικές απαιτήσεις είναι υψηλές, όπως κάλυψη δυσχρωμιών οι οποίες μπορεί να προέρχονται από παλαιά σφραγίσματα σύνθετης ρητίνης,

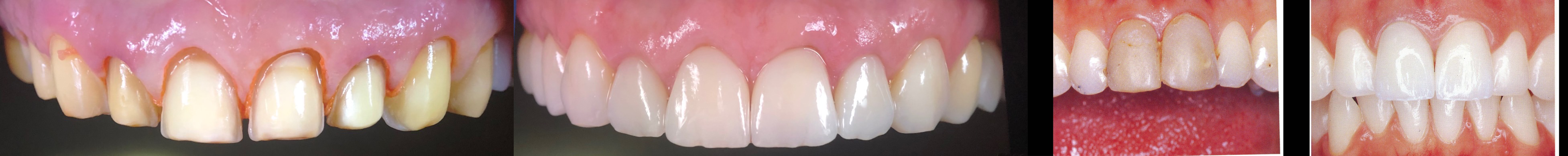
απονεύρωση, λήψη τετρακυκλίνης και άλλων φαρμάκων ή από υπερβολική φθορίωση των δοντιών, σύγκλειση διαστημάτων ανάμεσα στα δόντια, μόνιμα λευκά δόντια, για τη βελτίωση σχήματος και μεγέθους δοντιών, που μπορεί να έχουν σπάσει ή να εμφανίζουν κάποια συγγενή ανωμαλία (πχ. υποπλασία).Η όλη διαδικασία ολοκληρώνεται σε μόλις δύο ραντεβού και απαιτεί τη μεσολάβηση του εργαστηρίου. Αρχικά, γίνεται η κατάλληλη προετοιμασία του δοντιού με την αφαίρεση ελάχιστης ποσότητας αδαμαντίνης, την απομάκρυνση των δυσχρωμιών και την αναδιαμόρφωση του σχήματος του δοντιού. Κατόπιν ο οδοντίατρος, σε συνεργασία με τον ασθενή, επιλέγει το ιδανικό χρώμα και λαμβάνει αποτύπωμα το οποίο και αποστέλλει στο εργαστήριο. Σε επόμενη συνεδρία, οι όψεις πορσελάνης δοκιμάζονται στα δόντια και συγκολλούνται μόνιμα σε αυτά με ειδική ρητινώδη κονία διπλού πολυμερισμού, που είναι εξαιρετικά ανθεκτική στο πέρασμα του χρόνου.


Η διαδικασία ολοκληρώνεται σε δύο επισκέψεις. Στην πρώτη προετοιμάζεται το κάθε δόντι για να δεχθεί την όψη πορσελάνης. Αφαιρείται η δυσχωμία, διορθώνεται το σχήμα και στη συνέχεια λαμβάνεται ένα αποτύπωμα το οποίο αποστέλλεται στο εργαστήριο και κατασκευάζεται το εκμαγείο όμοιο με το στόμα και πάνω σ’ αυτό θα ολοκληρωθεί η όψη πορσελάνης. Μέχρι να είναι έτοιμη αυτή προσαρμόζονται μεταβατικές όψεις από σύνθετη ρητίνη όμοιες με τα διπλανά δόντια. Στο επόμενο ραντεβού γίνεται η οριστική τοποθέτηση των πορσελάνινων όψεων. Συχνά εμφανίζονται αυτά τα μαύρα τρίγωνα. Αιτίες μπορεί να είναι ουλεκτομή και ουλοπλαστική για διόρθωση ουλικού χαμόγελου, θεραπεία περιοδοντίτιδας ή και υφίζηση των ούλων απλά λόγω ηλικίας.




